Heroic doctors and their unbelievable achievements

November 28, 2018 Admin 12 min. Health, Beauty and Fitness
Disclosure : When you purchase a service or a product through our links, we sometimes earn a commission, at no extra cost to you.

Heroic doctors and their unbelievable achievements

Medical professionals are respected and appreciated the world over, for their intelligence, hard work and service to humanity. In the 21st century there are many different modalities of treatment for treatment of patients, including complicated investigative technologies. With members of both gender getting equal opportunities, to demonstrate their abilities in every field, life appears to be much more simple and straightforward; but things were not like this previously. The following stories depicts the challenges faced by medical and paramedical personnel, who worked under much harsher conditions in an unforgiving world, with nothing but their own convictions to support them.

 

Andreas Vesalius– The Man Who Risked Death for Discovering Human Anatomy

Born in Brussels in 1514 AD, Andreas Vesalius is considered as founder of modern human anatomy. Both his father & grandfather were in medical profession and he was encouraged by his father to follow the family tradition. Till that time, the knowledge of human anatomy was believed to be the same as seen in apes, as human dissection was controversial and not allowed in many places. So the teaching followed was those described by Galen – a Greek physician and surgeon, who lived almost 1300 years back, and had described his opinion on basis of structures seen in ape.

Heroic doctors
A portrait of Andreas Vesalius

Vesalius was one of the first in his times to do dissection of dead human body and he disapproved many of Galen’s findings, which antagonised many people. Vesalius is credited with many scholarly works in human anatomy. Many kings and nobles invited Vesalius to take his place in their court. He described in detail the organs present in abdomen, thorax and bones in skeletal system. His greatest contribution to modern medicine was his detailed description of heart and major blood vessels.

Drawing of the brain, by Vesalius.
Drawing of the brain, by Vesalius.

As impressive, the above mentioned facts are, the truth is Andreas Vesalius had many powerful enemies in his time, who tried to destroy him. The rumour that, Vesalius had dissected on a prominent member of society, while his heart was still beating, made him look like a murderer. Andreas Vesalius always struck to his values and did not compromise. His opponents also accused him of being against the Christian church and a non believer. These charges in 16th century, would certainly lead to a violent death sentence. Vesalius would have certainly faced this consequence, but a timely intervention by Philip II- the king of Spain, saved his life. As a compromising measure, Vesalius had to undertake a pilgrimage to Jerusalem and Mount Sinai, as a token gesture showing his repentance.

 

Rene Laennec--When Shyness for the Fair Sex Created a Brilliant Invention

The French Physician was born in 1781 in Quimper, France. He is famous the world over for his invention of Stethoscope (besides many other important discoveries), which was invented due to his shy nature. The doctors of that period, very well knew the advantages of hearing heart sounds to diagnose and understand, different diseases. A young lady presented to Laennec with heart problems in 1816 AD. Laennec found the practice of placing his head & ear on the chest of a young lady highly uncomfortable. He rolled sheets of paper into a cylinder & put one end of this cylinder in the lady’s chest and the other end on his ear. Thus, the first stethoscope (Greek words, stethos means chest and skopos means examination) was born.

René  Laennec  with stethoscope
René Laennec with stethoscope

This new invention, enabled Laennec to follow up a patient’s condition from bedside to autopsy table. His understanding of chest disease’s association with different sounds, enabled a lot better understanding of the concerned pathology. Since the time of Laennec’s invention of the 1st stethoscope (which was 25 cm to 2.5 cm hollow wooden cylinder) many modification of this hearing instrument has been done, to give rise to the modern version of the stethoscope. In spite of the advantages offered by Laennec’s stethoscope, for many decades to come, many senior professors of medicine rejected the method. But ultimately time ensured, that Laennec & his invention would be remembered, whereas his detractor’s names were lost to history.

 

Margaret Anne aka James Barry – The First British Female Doctor, who Spent her Entire Life as a Man

Born in Ireland in 1789 as a girl, a combination of strength of mind and twist of fate, took her to heights which was impossible for any woman of that time. At birth named as Margaret Anne, she later took the identity of a male, by adapting the name of her maternal uncle, after he had expired; and described her mother-- Mary Anne Bulkley, as his (James Barry’s) aunt. This whole identity fraud was done, with the sole aim to study medicine in Britain (which was not permitted for women, at that time) and later practice the profession in Venezuela as a woman, where her Uncle’s friend – General Francisco De Miranda was planning to overthrow the government and take over the country. With this intention in mind, James Barry studied medicine from 1809 to 1812 at the University of Edinburgh. However General de Miranda’s plan for Venezuela failed & James Barry was forced to consider alternate course of action, which finally resulted in him joining the Army.

Photograph of Dr James Barry
Photograph of Dr James Barry

As an army surgeon, James Barry worked in different parts of the British Empire. As a Doctor, he was very sincere & diligent towards his patients. His successful treatment of daughter of South Africa’s Governor, made him a personal friend. He also improved sanitation and hygiene conditions, which helped tremendously in betterment of the health status of the people. The conditions of slaves, prisoners, and mentally ill and other downtrodden were also improved. His support for the weaker sections of the society often brought him into conflicts with other officials, which resulted in Barry’s arrest & demotion on several occasions.

 

James Barry also is credited with performing the 1st successful Caesarean section in Africa, where both the mother & child survived. He took absolute care of his patients, irrespective of their religion, race, caste & creed. During his posting to Canada, he was promoted to the rank of Inspector General of Hospitals. In view of his deteriorating health and advancing age, he was forcefully retired on 19 July 1859 by the Army. On 25 July 1865, James Barry finally breathed his last, after a bout of dysentery. A cleaning lady, who prepared the dead body for burial, discovered that Dr James Barry was a woman and who must have been pregnant sometime earlier, as inferred by stretch marks on her abdomen.

Dr. James Barry's headstone., Kensal Green Cemetery
Dr. James Barry's headstone., Kensal Green Cemetery

It is indeed very strange that how could a Doctor, practicing for so long period could hide his/her identity? The answer for this are many. James Barry never changed his clothes in front of any person. His shoes were specially made for increment of height by another 3 inches, to give a manly appearance. He wore an overcoat irrespective of the season and weather, which covered his whole figure. In contrast to the kind and considerate doctor, that he was for his patients, he was very short tempered and foul mouthed with his colleagues and other people. Even the legendary Florence Nightingale had suffered ill treatment from Barry and she had very bad impression about him. James Barry was also known for fighting duel with people, who disagreed with him.

 

Many believe that this overtly aggressive behaviour, was intended to show her brash masculine personality. Even James Barry’s last wishes were, to be buried in the clothes that he died in and that too, without washing his body. These instructions were not followed. At the time of preparing the body, the stretch marks of pregnancy and female anatomy were revealed. This unbelievable story of a woman who pretended to be a man, for her entire life to pursue a profession, where she was not welcome, is a testament to the factor, that she indeed was a “man” enough for the job.

 

Louis Pasteur -- The Man Who was Willing to Be Shot to Save Others

Louis Pasteur born on 1822, was a French chemist and biologist and is credited with many important discoveries & inventions in his time, hence he is also known as father of microbiology. Among his many important inventions, Rabies Vaccine is one of the most important, as any bite by rabid dogs was fatal at that period, till the vaccine was invented. The Rabies vaccine was invented by Pasteur and his colleague – Emile Roux, by growing the virus in rabbits & then making it weak by drying the affected nerve tissue.

Portrait of Louis Pasteur
Portrait of Louis Pasteur

After testing the vaccine in at least 50 dogs, it was finally used in humans. A nine year old boy named - Joseph Meister; who was severely wounded by a rabid dog, was the first person to receive the vaccine on July 6, 1885. The boy miraculously survived, the first one to do so, after getting bitten by a rabid animal. This spectacular success, brought much recognition to Pasteur and he became a French national hero & even people from distant places like, America, came to France to receive this miracle cure.

 

In the midst of all this glory, it is but natural to forget the risks that Pasteur took. Pasteur was not a licensed physician and if any unexpected and inconvenient event occurred including the death of the boy (had the vaccine not worked), Pasteur would have faced severe legal consequence including imprisonment. The success of his experiment & the boy’s survival, ensured that legal actions were not pursued and instead he was hailed as a hero.

Louis Pasteur injecting rabies virus into a rabbit's brain
Louis Pasteur injecting rabies virus into a rabbit's brain

Another challenge that Pasteur & his team faced was the possibility of getting infected at the time of preparation of vaccine. Rabies was a dangerous disease at that time and an infected person was destined to die a terrible death – with inability to drink water, partial paralysis, convulsions, difficulty in breathing, fear of light followed by coma and death. In view of all these features; Louise Pasteur had given orders, that if he or his assistants got infected while preparing the rabies vaccine, they were to be shot in the head.

 

Julius Wagner Jauregg – The Psychiatrist Who Got a Nobel Prize, for Giving People Malaria

Julius Wagner Jauregg was born in 1857 in Austria, and has the distinction of being the only psychiatrist ever to win a Nobel Prize in Medicine, which he did in 1927. However stranger than the fact of a Psychiatrist winning a Nobel Prize, was the reason for which it was awarded to him. Dr Wagner dedicated a great part of his life, to understand the treatment of different diseases, by raising the body temperature, which is known as pyrotherapy. Initially this novel treatment of his was directed towards cure of mental diseases. However chronic untreated syphilis after many years of infection, caused neural & psychiatric symptoms, which eventually lead to death.

Julius Wagner-Jauregg
Julius Wagner-Jauregg

A chance observation that high fever could cure syphilis, lead Dr Wagner to induce malaria by the least aggressive variant of the parasite – Plasmodium vivax, in patient suffering from Syphilis. A prolonged and high fever of Malaria cured the patient of Syphilis and later, once the patient was cured of Syphilis, malaria was treated with quinine which was easily available at that period. These finding were eventually published in his book – Prevention and treatment of progressive paralysis by Malaria inoculation. Although he received Nobel Prize in Medicine in 1927 for his discovery, but his treatment was fraught with danger, as 15% of the patient treated by this method died. However, this treatment was widely used at his time, till penicillin was discovered & used as a safer option for treating Syphilis.

 

Werner Forrsmann – The Nazi Who Won Nobel Prize for Saving People’s Life

Cardiac catheterization is the insertion of a catheter into a chamber of the heart. This procedure is done for both diagnosis and treatment of many heart disease. Although a serious procedure, it is done quite frequently nowadays, in patient suffering from heart diseases & other conditions affecting the major blood vessels of the heart. This story is about the Doctor, who invented this procedure (which is still fraught with complications) by experimenting on himself.

Werner Forssmann
Werner Forssmann

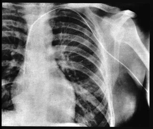
In 1929 he performed the 1st human cardiac catheterization, ignoring the strong orders of the department head. As at the time, this kind of procedure was surely believed to be fatal, he decided to do the procedure on himself. He anesthetised his elbow area and introduced a urinary catheter into a vein in the elbow area, which under X ray guidance, he passed up to his right ventricular cavity. He faced strong disciplinary measure for his experimentation. His negative reputation and image, with his seniors, forced him to quit Cardiology and instead take up Urology.

X-ray of Werner Forssmann
X-ray of Werner Forssmann

From 1932 to 1945 he was a member of Nazi Party and as a Major in world war 2, he was taken as a prisoner of war. On getting released after the war, he started working as a Urologist. But during the period he was held as a prisoner of war, something happened that would change his life for ever. During his imprisonment as a prisoner of war, his papers were read by Andre Fredric Cournand (a French physician) and Dickinson W Richards (an American physician), who refined Forssman’s technique for diagnosis of heart disease and research. In 1956 the three doctors were awarded the Nobel Prize in Medicine for their revolutionary invention.

 

Barry Marshall -- Doctor Who Wanted to Be Sick, for Other’s Health

“Everyone was against me, but I knew that I was right” – Barry Marshall, 1998

Barry James Marshal was an Australian physician, who always believed that the bacterium Helicobacter pylori, had a major role in causing Peptic ulcer. The view prevalent at that period was that peptic ulcer was caused by stress, spicy foods and too much acids. Any association with a bacterial infection was strongly negated & this kind of theory was often ridiculed by scientist and doctors, who ruled out the possibility of survival of bacteria in the stomach, where the acid environment was expected to destroy the bacteria. However, Barry Marshall with his colleague – Robin Warren (a pathologist, sharing the same view) submitted a research paper to Gastroenterological Society of Australia in 1983, but the reviewing committee ranked the paper among the lowest 10%, among all the articles received that year.

Barry Marshall
Barry Marshall

After failing to convince the experts about his theories, Dr Barry Marshall drank a liquid containing culture of Helicobacter pylori, so that the symptoms of the disease would develop in his body. Within a few days he had developed signs & symptoms of the pathology, under consideration. These were – nausea, bad breath and vomiting. Afterwards he underwent endoscopic study & biopsy. The endoscopy showed severe inflammation of his stomach (Gastritis) and the biopsy sample, on culture showed the growth of Helicobacter pylori. Following the development of symptoms, Barry Marshall started taking antibiotics, which eventually led to his recovery. In 2005 Dr Barry Marshall & his colleague – Robin Warren, received Nobel Prize in Medicine, for establishing role of Helicobacter pylori in Gastritis and Peptic Ulcer disease.

 

Jonas Salk – The Legend who chose to forfeit US $ 7 Billion, For Humanity

Jonas Salk an American medical researcher and virologist, who is credited with developing the first successful Polio Vaccine. Before 1955, when the use of vaccine formally started, polio was a dreaded disease. Even in the developed & powerful nation like United States, it was said that the people’s greatest fear was the atomic bomb followed by polio disease. The reason for this stemmed from the fact that, in Polio epidemic of 1952 where 58,000 people were involved, 3145 people died and 21269 people suffered from some amount of Paralysis. The disability suffered by US President – Franklin D Roosevelt, after an attack of Polio; was responsible for the increased awareness & fear present in the mind of the people.

Dr Jonas Edward Salk, creator of Salk polio vaccine.
Dr Jonas Edward Salk, creator of Salk polio vaccine.

Dr Jonas Salk attended New York University School of Medicine and later chose to join research field. His years of hard work finally bore fruit as he created the vaccine for polio. In the year 1954, the vaccine was tested on 1 million children, who later came to be known as Polio pioneers; very soon on 12 April 1955 the vaccine was declared to be safe for human use and later included on World Health Organization’s list of Essential Medicines. Jonas Salk became a celebrity in a very short span of time. In addition to being a brilliant inventor, Salk was also a great human being. He chose to not patent his polio vaccine, so that more people could afford it. Once he was asked “Who owns this patent?”. Salk’s reply was “There is no patent. It belongs to people. Could you patent the Sun?”. It is believed that due to his generosity, he missed out on earning an estimated US$ 7 billion.

 

Leonid Rogozov – Surgeon Who Did A Major Surgery on Himself

In today’s age, the spiralling cost of healthcare, has forced many to wish, if they could treat themselves. Although many do indulge in self treatment by medicines, but operating on oneself – being totally awake, is altogether a different matter. This impossible achievement was achieved by a Soviet General practitioner, who operated on himself on 1st May, 1961. This impossible feat was pulled off by the Soviet surgeon, due to lack of other options in the Antarctic research station where he was posted at that time.

Novolazarevskaya Antarctic  research station
Novolazarevskaya Antarctic research station

From September 1960 to October 1962 Dr Rogozov was posted in Novolazarevskaya station, an Antarctic research facility, which belonged to erstwhile Soviet republic. He was the only doctor in a team of 13 members, who were posted in the station for research purposes. On 29 April 1961, Rogozov developed nausea, fever, and pain in right lower portion of abdomen. The doctor realised that he was developing acute appendicitis. All measures to get relief from medicinal treatment failed. Absence of Aircraft and severe snowstorm with strong winds made the evacuation of the doctor from the station impossible. The only option for the Doctor was to operate on himself.

Appendicectomy as done in normal situation
Appendicectomy as done in normal situation

The surgery was initiated by the doctor lying in a semi – reclining position and a driver & a meteorologist acting as surgical assistants, passing surgical instruments to the doctor as well as holding a mirror, so the doctor could see the areas inside his abdomen, which was not directly visible to him. The surgery was done under local anaesthesia, which caused weakness and nausea to the operating doctor and he was forced to take short breaks repeatedly during the surgery. An accidental injury to the caecum (a bag shaped gut area, present at the beginning of large intestine where it joins to the ileum) was caused because of poor visibility of the doctor, to contents inside the abdomen. However, it was repaired successfully. The diseased appendix was taken out, which was gangrenous at its base. This clearly could have caused serious health concerns for the doctor, had the surgery not been done. After surgery the doctor’s condition gradually improved and he resumed his duties in 2 weeks time.

 

Conclusion

All the above mentioned facts appear hard to belief, but these really happened. These Doctors (and medical professionals) chose to endure tremendous hardships & faced unsurmountable odds, before the world acknowledged their greatness. In the modern world, it has become a trend to accuse the medical fraternity of indulging in unfair practices, without even checking the facts. Although a few rotten apples would be present in any profession, but the truth is that, most doctors in the modern world really care about their patients & would go to any length to fulfil their medical obligations. This article has been written with the hope that, the people who read this article would restrain from judging medical professionals, without taking into account, both sides of the story. Playing God is not an easy job, but that is what the Doctors do everyday, for their entire life.

Words of wisdom
Words of wisdom

(DECLARATION - All the images used in this site, are either from personal collection, or are images available in Public Domain. The owner of this website is grateful to all those, who donated their images to – Wikipedia, Wikimedia, Flickr, Pixabay, Picryl and all other sites; for free use, as images in Public Domain.)
Disclosure: When you purchase a service or a product through our links, we sometimes earn a commission, at no extra cost to you.

Popular Posts


Sign up for the Free Guide Book to Life Newsletter

For exclusive strategies not found on the blog